Лекарите морале да пресечат нов отвор помеѓу скротумот и анусот за да може човекот да уринира, а може да остане трајно импотентен.
Неидентификуван маж се борел со импотенција, а за време на секс вметнувал разни предмети во отворот на пенисот за да го одржи во ерекција.
Но, работите тргнале наопаку за време на една од овие сеанси кога партнерот се обидел да употреби сламка од лименка на пена за изолација за да го одржи пенисот во ерекција. Во стручниот труд објавен во Urology Case Report не е наведен полот на партнерот, туку детално е опишано како дошло до бизарната повреда.
Ја бутнале цевката и “случајно” инјектирале пена
Партнерот му втурнал сламка во пенисот на 45-годишниот, а потоа, како што тврди, случајно го притиснал вентилот на врвот на конзервата, вбризгувајќи пена внатре во пенисот.
Пената, која инаку се користи за изолација, се стврднала и на несреќниот импотентен маж останала одредена маса во внатрешноста на пенисот и мочниот меур.
Тој чекал три недели пред да побара лекарска помош. Отишол на лекување дури откако болките станале посилни, мокрењето отежнато. Кога пристигнал во болница, мочал крв.
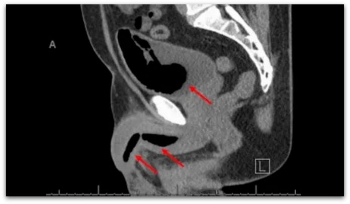
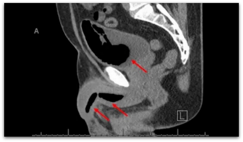
Скенирањето откри различни маси на стврдната пена, од кои некои беа долги скоро 11 см.
Сè повеќе мажи си туркаат сè и сешто
Уролозите за Mail Online изјавиле дека „сондирањето“, каде мажите вметнуваат различни предмети во отворот на уретрата, станува сè почест „домашен лек“ кај импотентните мажи, и покрај сериозните здравствени ризици.
Медицинскиот персонал успеал да ја извади зацврстената пена од мочниот меур на мажот за време на операцијата, но масите пронајдени во пенисот се покажаа попроблематични.
Со помош на специјализирани алатки, лекарите се обиделе да ја исцицаат пената и да ја извлечат низ отворот на пенисот , но тоа се покажало невозможно.
Претходните лузни ја “закачиле” пената
Станало очигледно дека мажот боледувал од стриктура на уретрата – состојба во која уретрата, цевката што ја носи урината надвор од пенисот, станува полна со лузни, поради што се стеснува.
Ова ткиво со лузни ефикасно ја закотвила пената, што го оневозможува нејзиното извлекување.
Лекарите биле принудени да направат перинеална уретростомија – направиле нов отвор помеѓу скротумот и анусот, за да ги отстранат преостанатите фрагменти.
Оваа процедура го пренасочува протокот на урина подалеку од пенисот, а новата дупка зад скротумот служи за исфрлање на урината.
Новиот отвор ја презема улогата на пенисот
По операцијата му биле ставени три туби кои му овозможиле да уринира и да ја исцеди течноста од зафатот.
По операцијата не биле утврдени никакви проблеми и се очекува мажот да биде подложен на дополнителна операција за поправка на уретрата, но само по психијатриска евалуација.
Пациентот, кој моментално е бездомник, ќе се квалификува за проценка само ако „постигне стабилна животна средина“, напишаа авторите од New Yorka и Pennsylvania.
Сè почест проблем
Тие изјавија дека ретко се случува предмети да се заглават во пенисот, но пријавени се и други предмети како што се сламки, стапчиња за памук, батерии, клинци и кабли.
Причините зауфрлување може да варираат од ментална состојба, преку сексуално задоволство, до затворениците кои го прават тоа намерно за да добијат привремено ослободување од затвор на лекување, велат уролозите.
Тие додадоа дека оние кои вметнуваат предмети во уретрата обично ја повторуваат оваа постапка и често имаат потреба од психијатриска помош.




















