
Пенисот на зависник од дрога поцрнил и испуштил „смрдлив исцедок“ откако 35-годишник му вбризгал кокаин во гениталиите.
Зависникот гледал како неговиот пенис поцрнува и почнал да гние откако му вбризгал кокаин.
35-годишниот Латиноамериканец се појавил во болница три дена по инјекцијата со непријатни болки.
Приказната ја откриle лекарите од болницата BronxCare во American Journal of Case Reportsu..
Непријатни последици

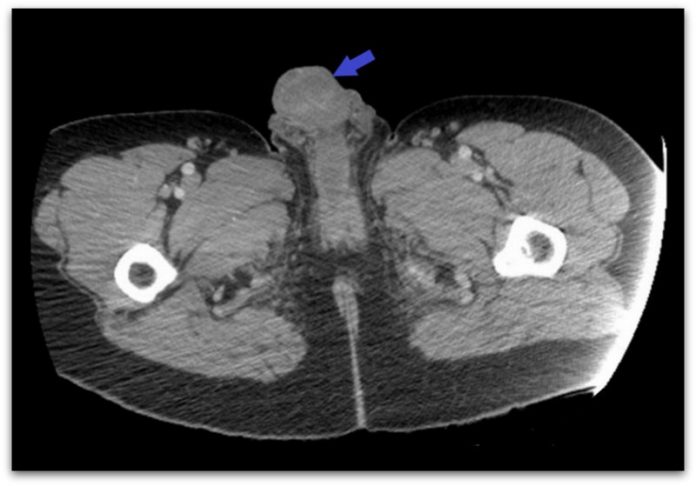
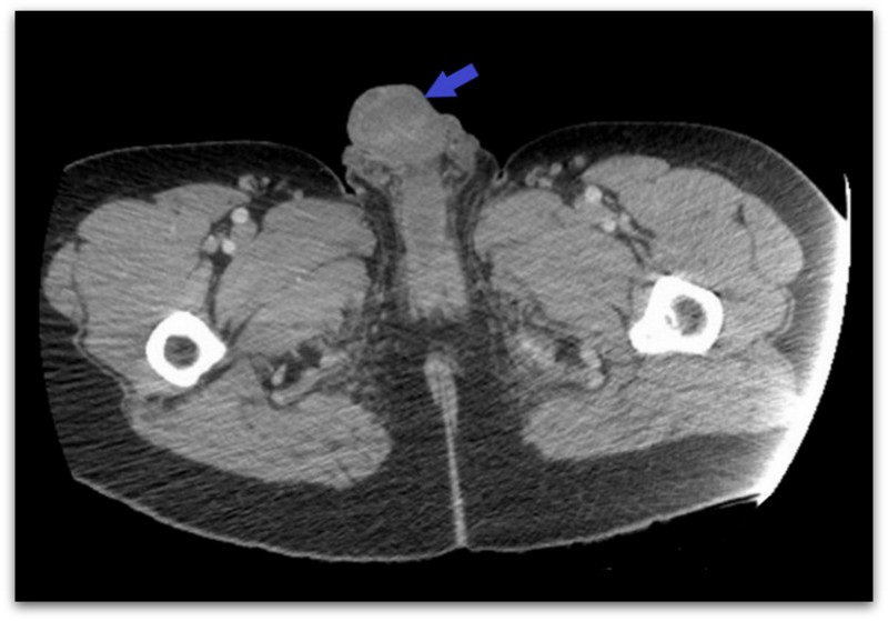
Лекарите од Bronx, во New York, откриле дека кожата на пенисот на непознат маж умрела, поцрнела и од која истекувал секрет со непријатен мирис. Кожата околу неговиот скротум, исто така, почнал да гние и да се лупи од коренот на неговиот пенис.
Пациентот признал дека инјектирал кокаин во дорзална вена која се протега по должина на врвот на пенисот, иако не кажал зошто.
По приемањет, пациентот рекол дека немал проблем со инјектирање на кокаин во неговиот пенис двапати во текот на претходните две недели.
Лекување на пенисот

Состојбата малку му се подобрила откако пет дена го земал антибиотикот. Лекарите му давале апчиња за десетдневна употреба за време на отпуштањето.
Тие рекле дека пациентот одбил да оди на рехабилитација поради злоупотреба на дрога и дека подоцна го изгубиле. Не знаат дали целосно се опоравил.
Лекарите кои го лекуваа пациентот изјавиле:
„Нашиот случај ја нагласува важноста да се земе темелна историја на интравенозните корисници на дрога, бидејќи тие се изложени на ризик да инјектираат дрога на невообичаени места“.
Неговиот третман вклучувал и нега на рани, иако тоа не било детално објаснето.
Лекарите не коментирале како инекцијата кокаин му го оштетила пенисот, но тоа може да биде затоа што користел контаминирана игла или оставил убодна рана, што можело да предизвика инфекција.
Инјекција на кокаин

Кокаинот во прав најчесто се шмрка низ нос или се пуши како крек кокаин, што е камена форма на дрогата. Во екстремни случаи, дрогата што предизвикува зависност може да се меша со вода и да се вбризга во телото, а корисниците велат дека дава речиси моментален ефект.
Инјектирањето кокаин е поверојатно кај редовните корисници на кокаин бидејќи нивните тела веќе имаат изградено повисоко ниво на толеранција на дрога. Зависниците кои инјектирале дрога во поконвенционални делови од телото и оштетени вени често немаат друг избор освен да ги испробаат здравите крвни садови во нивните гениталии.
„Многу е важно лекарот да ги советува активните интравенозни зависници за можните компликации од инјектирање дрога на невообичаени места“, објаснуваат експертите.
Употребата на кокаин е нелегална
Во Британија кокаинот е нелегален и е класифициран како дрога од класа А. Околу четири отсто од возрасните го земаат годишно.
Поседувањето на дрогата носи седум години затвор, додека учеството во нејзино снабдување или производство може да резултира со доживотна казна затвор.
Кокаинот е исто така нелегален во САД, но е наведен како Попис II, за лекови кои се одобрени за медицинска употреба, но сепак претставуваат висок ризик од злоупотреба. Ова е испод Списокот I, кој е резервиран за најопасните супстанции со висок ризик од злоупотреба и без признаена медицинска употреба.
Поседувањето на истото во САД може да доведе до десет години затвор, а доколку се утврди дека е произведен или испорачан, може да резултира и со најмалку десет години зад решетки.
Орегон е единствената американска држава што го декриминализира поседувањето дрога, тврдејќи дека на оние кои ќе бидат пронајдени со неа треба да им се понуди рехабилитација наместо тоа, пишува DailyMail.


















