Несакан гостин во мозокот | Спиел цврсто, почнал да се грчи и паднал на подот, и никој не знаел зошто

2442

„Пациентот исто така имал крв во устата, веројатно си го каснал јазикот“, пишува д-р Andrew Cole.

Пред три години, едно семејство во Бостон беше фрлено во тотален хаос во раните утрински часови. Човекот кој пред неколку моменти длабоко спиел покрај сопругата, наеднаш се грчел на подот, а никој не знаел зошто.

Тој бил збунет, изговорил бесмислени зборови и се обидел да се спротивстави на тоа да не го однесат со брза помош во Општата болница во Масачусетс. Таму, со макотрпна дијагностичка процедура, лекарите откриле несакан гостин во мозокот, пишува Science Alert.

При преглед на несреќникот, отчукувањата на срцето и дишењето биле малку покачени, но токсикологијата и рендгенската снимка на градниот кош не покажале абнормалности.

Немало физички докази кои укажуваат на основна хронична болест, немало историја на болест или невообичаено однесување пред настанот или некоја позната семејна историја на невролошки проблеми.

Што ги предизвикало нападите?

„Пациентот исто така имал крв во устата, веројатно поради каснување на јазикот“, пишува д-р Andrew Cole во неодамна објавениот извештај за случајот.

38-годишниот маж бил лекуван со лоразепам поради напади, но требало повеќе да се работи за да се открие што воопшто ги предизвикува.

Бројни состојби може да доведат до напади или слични симптоми. Тие можат да бидат предизвикани од сѐ што го попречува протокот на крвта во мозокот, па затоа е важно да се провери целиот васкуларен систем. Тестовите покажале дека црниот дроб на мажот, кој ги регулира хемикалиите во нашиот крвоток, и бубрезите, кои го отстрануваат отпадот од крвта и го регулираат крвниот притисок, функционираат правилно.

Моменталната загуба на крв во делови од мозокот (исхемични напади), лекови, мигрена и психијатриски настани исто така може да предизвикаат симптоми слични на напади, но токсиколошките тестови и фактот дека мажот претходно бил во совршено здравје го отфрлиле тоа.

„Клучно е да се добие клиничка историја“, објаснува д-р Andrew Cole. „Најмоќната алатка за проценка на можен напад се дополнителните информации.“

Сплескани црви

Историјата на пациентот откри трага. Тој мигрирал од рурална Гватемала пред 20 години.

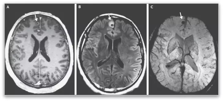
Скенирањето на мозокот откри три калцифицирани лезии. Со оглед на нивната презентација и медицинската историја на пациентот, лекарите заклучиле дека се работи за цисти кои припаѓаат на паразитската свинска тенија (Taenia solium). Овие црви слични на бели панделки се потпираат на човечките домаќини за да стигнат до фазата на возрасни од нивниот животен циклус, каде што се закачуваат за тенкото црево со десетици мали куки

Овде, сплесканите црви се хранат со околните хранливи материи и можат да пораснат до шокантни осум метри. Ова е фаза во која тие можат да се размножуваат сексуално ако имаат среќа – во спротивно ќе се размножуваат асексуално. Нивните јајца одат со нашиот измет до остатокот од светот. Тие потоа можат да преживеат во околината и до два месеци како јајца, надевајќи се дека ќе бидат изедени од друго животно.

Свињите се најчестите индиректни домаќини, но понекогаш и други луѓе или дури изворно инфицирани луѓе ќе изедат јајца од тенија. Тие ќе се размножат во цревата на домаќинот, а добиената ларва продира во крвотокот, по можност да се вгнезди во вкусните свински мускули кои потоа можат да ги пренесат назад кај луѓето кои јадат недоволно варено месо.

Тие знаат како да се сместат во мозокот

Сепак, добиените цисти во форма на ларви можат да се развијат во секој орган и да предизвикат најсериозни проблеми – особено ако се наоѓаат во мозокот.

Оваа состојба се нарекува невроцистицеркоза и е водечка причина за стекната епилепсија во многу делови од светот – вклучително и Латинска Америка и субсахарска Африка. Се смета дека илјадници луѓе само во САД се погодени од вакви случаи.

Невроцистицеркозата е болест која може да се спречи, но и покрај нејзината распространетост и сериозност, релативно малку средства се посветени на борбата против неа, што довело CDC да ја класифицира како занемарена тропска болест. Превенцијата вклучува темелно миење на рацете, готвење и безбедно ракување со месото и брз третман на луѓето со цревна тенија.

Некои случаи на невроцистицеркоза бараат операција за отстранување на проблематичните цисти од мозокот, како во неодамнешниот случај на 25-годишна Австралијка која имала постојани главоболки и заматен вид. Бидејќи цистите може да се формираат во различни делови на мозокот, симптомите можат многу да се разликуваат.

Во врска со овој случај, мажот бил лекуван со антиинфламаторни, антиконвулзивни и со два антипаразитски лекови. По пет дена бил отпуштен од болница без симптоми, а три години е без напади. Сепак, тие веројатно ќе треба да продолжат да земаат лекови против напади.

„Проблематичното прашање е кога да престанете да го земате лекот, бидејќи калцифицираната лезија ќе остане засекогаш“, вели д-р Andrew Cole..

Студијата на случки е објавена во The New England Journal of Medicine.